Ver caso real de tratamiento del CCE por laminoplastía.
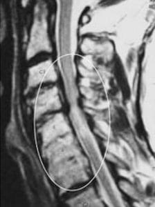
La estenosis del canal cervical constituye una entidad patológica caracterizada por la reducción anormal del diámetro del canal espinal en la región cervical, generando compresión sobre las estructuras nerviosas circundantes. La clasificación de esta condición se efectúa según la etiología subyacente, dividiéndola en estenosis congénita, adquirida degenerativa o iatrogénica, y estenosis por procesos inflamatorios o traumáticos.
Desde el punto de vista clínico, los pacientes suelen manifestar síntomas progresivos, como dolor cervical, irradiación a los miembros superiores, parestesias, y debilidad muscular. La gravedad de la clínica se correlaciona directamente con la magnitud de la compresión neural y la presencia de factores coexistentes, como hernias discales o espondilosis.
El diagnóstico de la estenosis del canal cervical se basa en la utilización de técnicas de imagen avanzadas. La resonancia magnética (RM) emerge como la herramienta primordial para visualizar con detalle las estructuras nerviosas, discernir la presencia de compresión y evaluar posibles factores contribuyentes, como hernias discales o cambios degenerativos.
En lo que respecta al tratamiento, la gestión de la estenosis del canal cervical involucra tanto medidas conservadoras como intervenciones quirúrgicas. Las opciones conservadoras abarcan fisioterapia, analgésicos, y modificación de la actividad física, mientras que la cirugía, como la laminectomía cervical, se contempla en casos refractarios o con déficits neurológicos significativos.
La comprensión detallada de la estenosis del canal cervical, desde su clasificación hasta las modalidades de tratamiento, resulta esencial para el abordaje efectivo de esta patología. La individualización del tratamiento, considerando la gravedad de los síntomas y las características anatómicas, se erige como un elemento central para optimizar los resultados clínicos y mejorar la calidad de vida de los pacientes afectados.

hola hace un meses me hicieron una resonancia y me salio que tengo 4 hernias cervicales, necesito saber como tratarlas?
Hola Gabriel, depende del tipo y cualidad de las hernias, asimismo también del defecto articular y de los síntomas que produzcan
HOLA. A LOS 5 AÑOS DE EDAD ME DIAGNOSTICARON ESCOLIOSIS. EN 2006SUFRI DE DORO INTENSO EN LA ZONA DE LA NUCA IRRADIADO A CUELLO, CON CONTRACTURA EN LA ZONA IZQ. RECIBI TRATAMIENTO CON DICLOFENAC, FISIOTERAPIA Y SE ME RECOMENDO NATACION. ME DIJERON QUE ESA PATOLOGIA SOLO SE CORREGIA CON 4 OPERACIONES, PERO EL TRAUMOTOLOGO ME LO DESACONSEJO POR DUDAR DE LOS RESULTADOS TENIENDO EN CUENTA LOS RIESGOS POR MI CONTEXTURA FISICA. EL AÑO PASADO REAPARECIERON LOS DOLORES, OYTA TRAUMATOLOGA ME INDICO RMN COL CERVICAL Y APARECIO MALF DE CHIARI I Y SIRINGOM. EL NEUROCIRUJANO INDICO RMN CRANEO, COLUMNA U DINAMICA DE LCR. INDICANDO CIRUGIA.
YO REALICE UNA CONSULTA CON DR. MEZZADIR VIA MAIL ENVIANDO FPOTOS DIGITALES RMN Y EL ME HA INDICADO UN ESPINOGRAMA PARA SABER SI TENGO CIFOESCOLIOSIS. YA QUE DUDA SOBRE PROCEDENCIA DOLORES.
ADEMAS TENGO INESTABILIDAD EN LA MARCHA, PARTE IZQ DE MI C UERPO MAS CHICO Y DEBILIDAD MUSCULAR MIEMBROS SUPERIORES E INFERIORES.
NO SE SI ES SU ESPCIALIDAD CHIARI Y SIRINFO. O QUE OPINION LE MERECE LO QUE LE RELATO.
SI PUDIERA RESPONDERME LE ESTARIA MUY AGRADECIDA.
MYRIAM