Trustindex verifica que la fuente original de la reseña sea Google. El Dr Bernardo Sonzini Astudillo es el mejor profesional que he conocido. Tras acudir a varios profesionales por un dolor insoportable padecido durante un año y medio, él fue el único que analizó minuciosamente todos mis estudios realizados durante ese tiempo y, con sólo un estudio más, descubrió mi afección. Junto a su equipo realizó mi cirugía con total profesionalidad, dedicación, cordialidad y atención personalizada, preocupándose por mi bienestar en todo momento. Lo super recomiendo no sólo por ser un excelente profesional y persona, sino también porque gracias a él puedo tener una mejor calidad de vida. Eternamente agradecida!Publicado en Ana Abalo PazTrustindex verifica que la fuente original de la reseña sea Google. Excelente el trato muy clara la forma de explicar las lesiones y cual va a ser y como va a ser la cirugía, buen acompañamiento post operatorio. Muy recomendablePublicado en Fernando GuidaTrustindex verifica que la fuente original de la reseña sea Google. Exelente súper recomendable, me volvería a operar con el.Publicado en Lucas TorresTrustindex verifica que la fuente original de la reseña sea Google. Hola! Les comento que mi experiencia con el Dr Sonzini Astudillo ha sido excelente. Su trato es muy amable, sus concejos han sido claros y de mucha utilidad para calmar mis dolores lumbares y el dolor que se irradiaba hacia mi pierna. Altamente recomendable. Gracias!Publicado en Norma BasgallTrustindex verifica que la fuente original de la reseña sea Google. Dr. Pablo Sonzini Astullido estaré eternamente agradecida Por lo que hizo por mí y por mi querido padre En un momento de mucha incertidumbre, su orientación sincera,su honestidad y su compromiso con el bienestar del paciente marcaron la diferencia.Publicado en noraTrustindex verifica que la fuente original de la reseña sea Google. El mejor Dr y Excelente persona que me tocó.me operó en setiembre del 2021 de la columna y salí caminando es más me volví el mismo día en un taxi a mí casa muy agradecido siempre Un Genio ojalá hiciera craneal porque tengo una cirujía de cabeza pendiente y No se a quien irPublicado en Sergio MartinTrustindex verifica que la fuente original de la reseña sea Google. Muy bueno el lugar la atención de las chicas muy buena los estudios bastante rápidos los realizan la sala de espera un poco amontonada las sillas no hay mucho espacio para sentarse por eso no le doy todas las estrellas lo recomiendoPublicado en Julian PonceVerificado por: TrustindexLa insignia verificada de Trustindex es el símbolo universal de confianza. Solo las mejores empresas pueden obtener la insignia verificada si tienen una puntuación de revisión superior a 4.5, basada en las reseñas de clientes de los últimos 12 meses. Leer más
Temas de Interés
Linfoma no Hodgkin B con compresión medular
Masculino, 65.
Comenzó con contractura dorsal, tratamiento fisioterápico.
Paraparesia progresiva de 6 meses de evolución. Sin dolor.
Alteración de la Marcha. Consulta tardía.
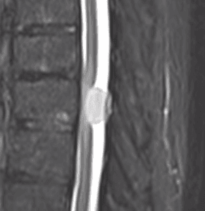
Schwannoma cervico dorsal premedular
Masculino, 66.
Dolor tipo puntada dorsal, interescapular y precordial.
Comenzó a caerse arrodillado de manera espontánea.
Tumor benigno intra raquídeo extradural e inestabilidad degenerativa asociada
Femenino, 55
Lumbocruralgia. Dolor lumbar axial, mecánico, progresivo e invalidante. Constante, en posición de pie y acostada, nocturno y diurno.
